A safe, long-lasting solution for missing teeth, personalized for each individual
Losing teeth over an extended period not only affects the aesthetics of your smile but also has a direct impact on your daily quality of life. Eating becomes more difficult, the jawbone gradually deteriorates, and facial structure may change, leading to a loss of confidence in communication.
In cases requiring fixed and long-term restoration, traditional solutions such as dental bridges or removable dentures often fall short in fully meeting both functional and durability expectations.
Dental implants are therefore considered a comprehensive treatment approach, helping restore missing teeth in a stable, safe, and long-lasting manner.

Why many patients choose dental implants at Thuy Duc Dental Clinic
The implant service is built on a strong professional foundation, combined with modern technology and a treatment experience that prioritizes comfort and peace of mind at every stage.
Experienced implant specialist directly performs the treatment
In implant dentistry, the expertise and experience of the dentist play a decisive role in the success of the procedure.
At Thuy Duc Dental Clinic, implant procedures are directly examined and performed by Dr. Nguyen Thanh Tuan, a specialist in implant dentistry with over 10 years of experience and extensive professional training.
Throughout the treatment process, careful evaluation of jawbone condition, missing tooth position, and overall health is conducted to develop a personalized treatment plan for each patient.
Advanced technology ensuring precision and safety
The integration of modern technology in implant procedures significantly enhances accuracy and ensures patient safety.
At Thuy Duc Dental Clinic, advanced equipment supports the development of personalized treatment plans while making the procedure faster and more comfortable.
The VATECH Pax-i imaging system provides detailed and comprehensive visualization of jawbone structures, allowing accurate assessment of bone density, nerve positioning, and critical anatomical factors prior to implant placement.
The iTero Lumina 5D scanner enables fast and highly precise digital impressions, supporting the design of well-aligned and functional restorations.
The Dentium ICT implant motor assists in accurate implant placement, minimizing invasiveness and promoting faster healing.
Additionally, Piezotome ultrasonic technology and other modern supporting devices are applied to reduce discomfort and swelling, especially in cases requiring tooth extraction before implant placement.
Genuine implant systems with clear origin
The quality of the implant plays a crucial role in osseointegration and long-term durability. Only genuine implant systems imported from reputable international manufacturers are used, selected based on medical safety, biological compatibility, and suitability for each patient’s bone condition.
Straumann Implant (Switzerland)
A premium implant system widely used in cases requiring high stability and rapid osseointegration. Advanced surface technology enhances bone integration, shortens healing time, and ensures long-term durability.
Dentium Implant (USA)
Well-regarded for its optimized design and adaptability to various bone conditions, suitable for both simple and complex cases, providing stable restoration and reliable chewing function.
DIO Implant (Korea)
Made from medical-grade titanium with advanced surface treatment, supporting strong bone integration. Often indicated for cases balancing treatment effectiveness and cost considerations.
ETK Implant (France)
Designed to distribute chewing forces effectively and maintain stable integration, suitable for a wide range of restorative needs, especially long-term solutions.
SIC Implant (Switzerland)
Features a connection design that helps preserve bone structure around the implant site, ideal for cases requiring long-term stability and high biocompatibility.
NEO Implant (Switzerland)
Utilizes advanced surface technology to enhance contact and integration with the jawbone, supporting stability during healing and maintaining long-term outcomes.

Transparent treatment process with clear warranty policies
Each implant case is planned individually, based on oral condition and overall health.
Step 1: General examination and consultation
A comprehensive assessment is conducted to evaluate oral health, jaw structure, and gum condition, forming the basis for an appropriate implant solution.
Step 2: Treatment agreement
A clear and transparent treatment contract is established to ensure patient rights throughout the entire process.
Step 3: CT imaging and dental impressions
CT scans are used to assess bone density and determine optimal implant positioning, combined with dental impressions for restoration planning.
Step 4: Implant placement
The implant is placed into the jawbone at the missing tooth position. An abutment is attached to connect the implant with the final crown. A temporary restoration is provided during the healing phase to maintain aesthetics and daily function.
Step 5: Final crown placement
Once the implant has fully integrated with the bone, the permanent crown is placed, completing the restoration and fully restoring both function and aesthetics.

Dental implant treatment is a long-term journey that requires careful planning and professional responsibility at every stage. From choosing the right clinic and dentist to developing a treatment plan suited to each individual’s bone structure and health condition, every factor contributes to the long-term success of the implant.
At Thuy Duc Dental Clinic, each implant case is approached with meticulous care, aiming to provide a reassuring treatment experience and lasting value on the journey to restoring a confident smile.
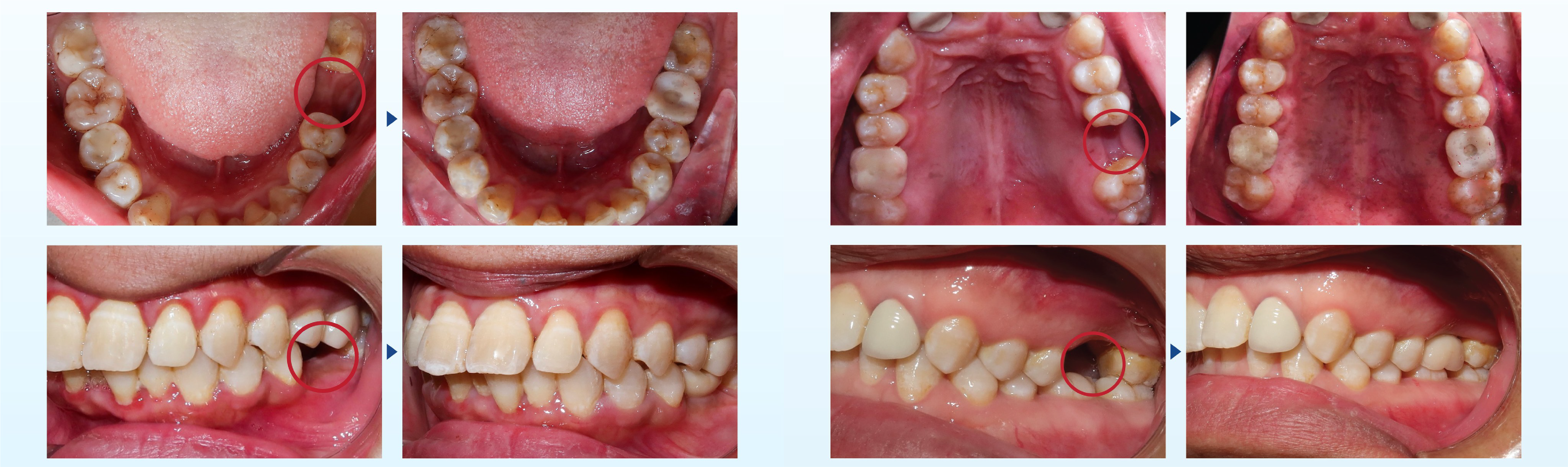
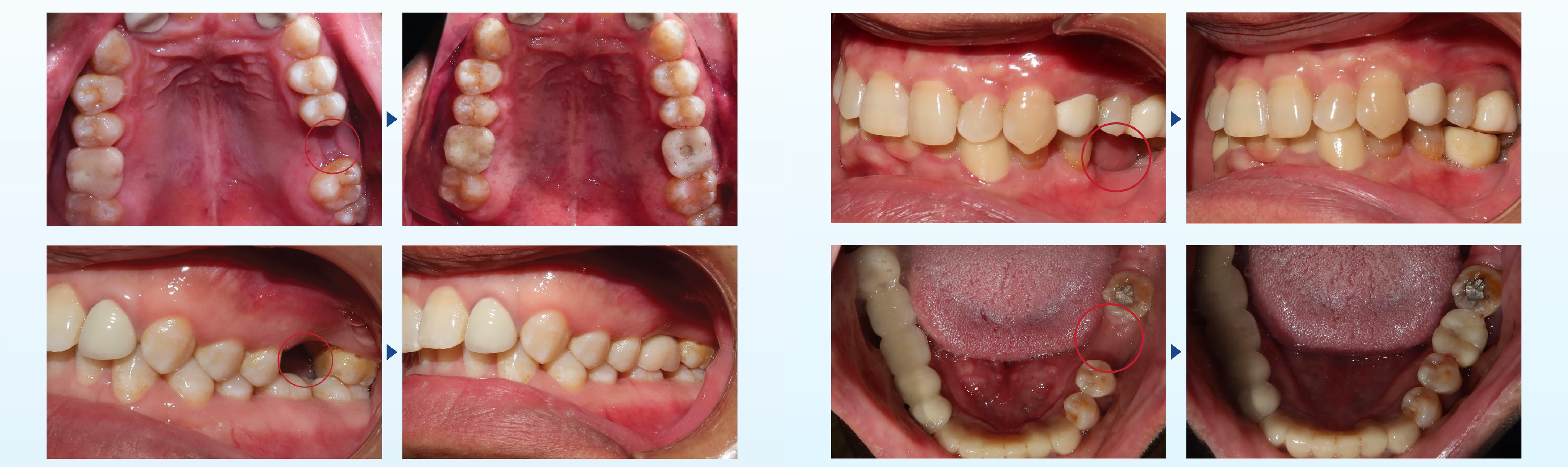
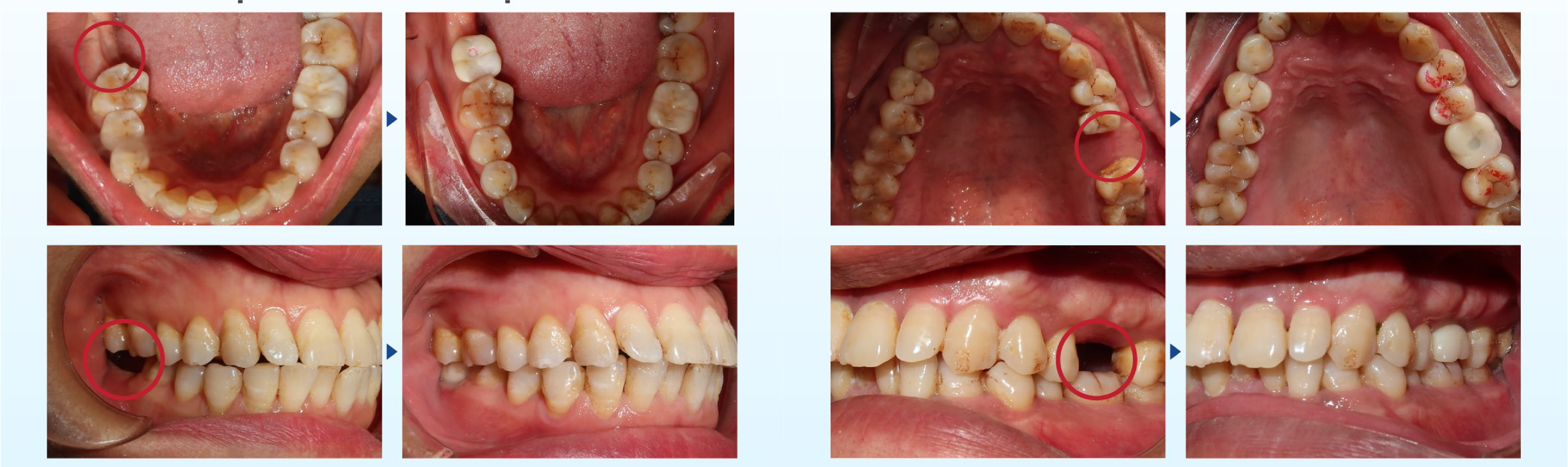
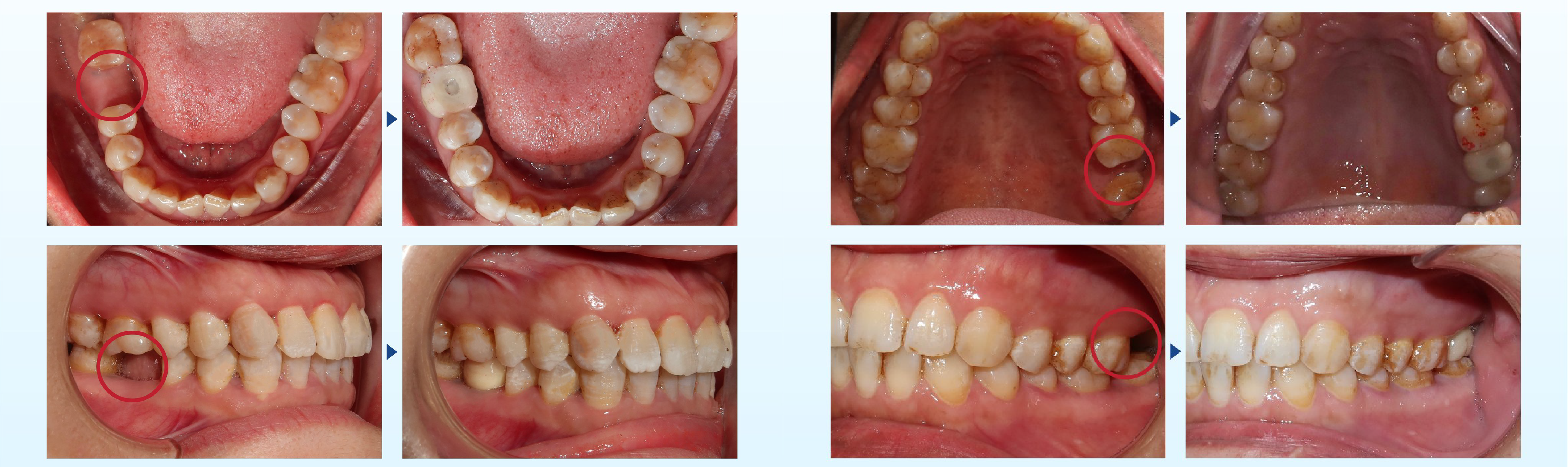
Some Dental Implant Cases at Thuy Duc Dental Clinic





